logo
× About Services Gallery FAQ Blogs
Contact Us
service_background

Blog

laparoscopic-right-radical-nephrectomy-for-renal-cell-carcinoma-thumbnail

Laparoscopic Right Radical Nephrectomy for Renal Cell Carcinoma

Published

A 56-year-old male patient presented with a right renal mass consistent with renal cell carcinoma (RCC), measuring 10 × 8 cm, involving the upper pole and extending to the renal hilum.

Given the tumor location and extent, nephron-sparing (partial) surgery was not feasible, and the patient was planned for laparoscopic right radical nephrectomy.

The procedure was performed using a minimally invasive laparoscopic approach, allowing precise dissection and safe control of the renal hilum while adhering to oncological principles. The surgery was completed successfully without intraoperative complications.

The patient had an excellent postoperative course, with minimal pain, early mobilisation, and rapid recovery, and was discharged on postoperative day 5.

This case highlights the role of laparoscopic radical nephrectomy in managing large renal tumors where nephron-sparing is not feasible, offering the benefits of minimally invasive surgery while ensuring oncological adequacy and patient-centered recovery.


emergency-transthoracic--esophagectomy-for-perforated-esophageal-cancer--dr-pavan-kumar-thumbnail

Emergency Transthoracic Esophagectomy for Perforated Esophageal Cancer | Dr Pavan Kumar

Published

A 68-year-old female with squamous cell carcinoma of the lower esophagus (cT3N0M0) developed an iatrogenic esophageal perforation following endoscopy, leading to mediastinitis.

 

The patient was initially managed conservatively. An attempt at endoscopic stenting was made; however, stent placement was not feasible as the distal lumen could not be identified endoscopically. By day 3, in view of worsening mediastinitis and a large perforation involving more than 50% of the esophageal circumference, a decision was made to proceed with surgical exploration.

 

Given that the patient remained hemodynamically stable but showed progression of local sepsis, she underwent an emergency transthoracic esophagectomy with gastric conduit reconstruction. The procedure allowed definitive control of the source of contamination and restoration of gastrointestinal continuity.

 

The patient tolerated the surgery well. The postoperative course was complicated by pulmonary issues, which were managed effectively with intensive care support and dedicated pulmonary care.

With gradual recovery, the patient improved clinically and was discharged on postoperative day 12, tolerating oral intake and in stable condition.

 

This case highlights the importance of timely surgical intervention in esophageal perforation associated with malignancy, particularly when conservative and endoscopic measures are not feasible. In selected patients, emergency esophagectomy can be life-saving, offering both sepsis control and definitive oncologic management.


thoracoscopic-vats-thymectomy-for-thymoma--dr-pavan-kumar-thumbnail

Thoracoscopic (VATS) Thymectomy for Thymoma | Dr Pavan Kumar

Published

A 34-year-old woman, evaluated for persistent bronchitic symptoms, was incidentally found to have an anterior mediastinal mass on imaging. Further diagnostic workup confirmed a thymoma, with no associated paraneoplastic manifestations.

Following appropriate preoperative optimisation, we proceeded with a right-sided Video-Assisted Thoracoscopic (VATS) thymectomy.

 

 

Advantages of the Minimally Invasive Approach

In appropriately selected patients, VATS thymectomy offers distinct benefits:

✔ Reduced postoperative pain
✔ Early mobilisation
✔ Lower wound morbidity
✔ Shorter hospital stay (discharged on postoperative day 5)
✔ Oncologic adequacy maintained

Minimally invasive thoracic surgery continues to demonstrate that oncologic precision and patient-centered recovery can coexist.

Surgical oncology is evolving — not only in achieving disease control, but in enhancing the quality of recovery for our patients.

 

 



retroperitoneal-liposarcoma-surgery--dr-pavan-kumar-thumbnail

Retroperitoneal Liposarcoma Surgery | Dr Pavan Kumar

Published

Operating on sarcomas continues to be one of the most rewarding experiences for a surgical oncologist. Each case demands not only technical mastery but also deep respect for complex anatomy and multidisciplinary collaboration.

Recently, a 50-year-old woman presented with a large retroperitoneal liposarcoma, posing considerable anatomical and technical challenges. Managing such tumors requires meticulous preoperative planning and precise intraoperative execution.



portec-3-trial-10-year-results---journal-club-oncology--dr-pavan-kumar-thumbnail

PORTEC-3 Trial 10-Year Results | Journal Club Oncology | Dr Pavan Kumar

Published

The PORTEC-3 trial continues to shape our understanding of adjuvant therapy in high-risk endometrial cancer. With updated 10-year follow-up data, it provides valuable insights into survival outcomes and the role of molecular classification in guiding treatment.

🔑 Key Highlights

Chemoradiotherapy vs Radiotherapy Alone
Long-term benefit in overall survival (OS) and recurrence-free survival (RFS) persists with combined modality treatment.

p53-abnormal (p53-abn) tumors
Patients derive a substantial survival advantage with chemoradiotherapy.

POLE-mutated cancers
Show an excellent prognosis regardless of treatment, supporting treatment de-escalation in this subgroup.

MMR-deficient (MMRd) & NSMP groups
Outcomes highlight the need for immunotherapy approaches and further risk stratification in these subsets.

 

🎥 Watch my detailed discussion on this trial and its clinical implications on my Journal Club Oncology channel: 👉 PORTEC-3 Trial Discussion – Dr. Pavan Kumar

 

 


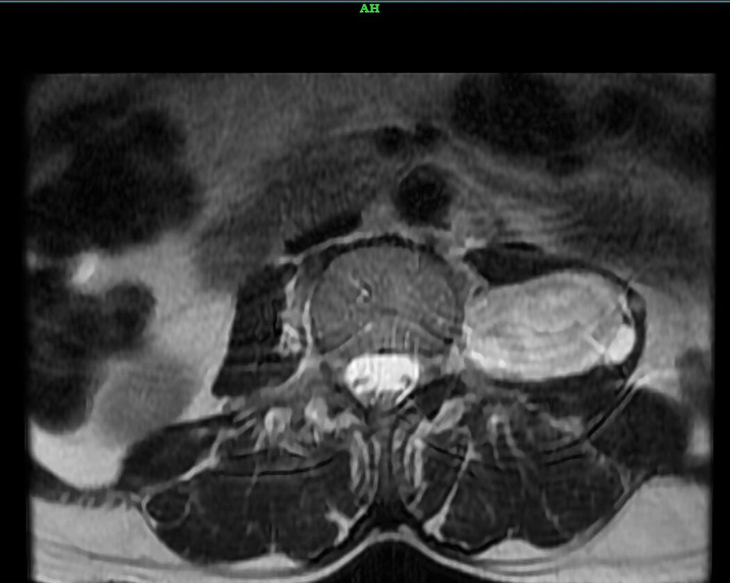
laparoscopic-removal-of-lumbar-paraspinal-schwannoma--dr-pavan-kumar-thumbnail

Laparoscopic Removal of Lumbar Paraspinal Schwannoma | Dr Pavan Kumar

Published

A 50-year-old woman presented with a left lumbar paraspinal schwannoma, a benign nerve sheath tumor located deep in the retroperitoneal space. MRI revealed two well-defined lesions measuring 10 × 5 cm, extending from L2 to L5, with no intracanalicular extension. She successfully underwent excision of the tumor through a transperitoneal minimally invasive approach, which provided excellent visualization, precise dissection, and safe tumor removal.

Although retroperitoneal masses are often considered a relative contraindication for laparoscopic surgery, in this case the patient underwent safe paraspinal mass removal with no intraoperative complications, minimal blood loss, and faster recovery compared to conventional open surgery.

The postoperative course was uneventful; the patient recovered smoothly and was discharged on the 4th postoperative day without neurological deficits or perioperative complications.

 


laparoscopic-surgery-for-early-stage-endometrial-cancer--dr-pavan-kumar-thumbnail

Laparoscopic Surgery for Early-Stage Endometrial Cancer | Dr Pavan Kumar

Published

A 52-year-old woman diagnosed with well-differentiated carcinoma endometrium, FIGO stage I, successfully underwent laparoscopic staging surgery. The procedure involved total laparoscopic hysterectomy with bilateral salpingo-oophorectomy and pelvic lymphadenectomy.

190+ Endometrial Cancer Stock Photos, Pictures & Royalty-Free Images -  iStock | Endometrium, Ovarian cancer, Endometriosis

https://www.linkedin.com/posts/drpavankumarcg_laparoscopic-bplnd-unedited-activity-7370528564049453056-eQSW?utm_source=share&utm_medium=member_desktop&rcm=ACoAACZEqlcBpUb6T6urp28O92IcuvMoVqRCtz0

 

The minimally invasive laparoscopic approach provided superior visualization of pelvic anatomy, enabled precise dissection, and ensured an adequate lymph node yield for accurate staging.

Evidence from multiple clinical studies confirms that laparoscopic surgery for early-stage endometrial cancer achieves oncological outcomes equivalent to open surgery, while offering significant benefits to patients. These include:

  • Reduced intraoperative blood loss
  • Shorter hospital stay
  • Faster recovery and return to daily activities
  • Less postoperative discomfort

This case was completed smoothly, with no intraoperative complications, and the patient experienced an uneventful postoperative recovery.

Minimally invasive surgery continues to establish itself as the standard of care in early-stage endometrial cancer, combining oncological safety with patient-centered benefits


first-hipec-surgery-at-sdm-dharwad--dr-pavan-kumar-c-g-thumbnail

First HIPEC Surgery at SDM Dharwad | Dr. Pavan Kumar C G

Published

For the very first time at SDM Hospital, Dharwad, our Surgical Oncology team led by Dr. Pavan Kumar C G has successfully performed HIPEC (Hyperthermic Intraperitoneal Chemotherapy) for a patient with advanced ovarian cancer.
This milestone marks a new era in cancer care for patients across Hubli, Dharwad, and North Karnataka, who can now access this advanced treatment much closer to home.


Emergency
Call